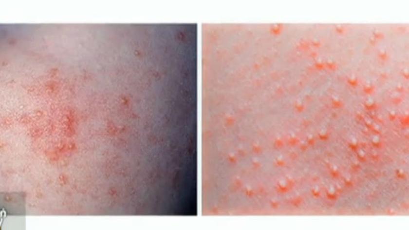
Jak wyglądają potówki? Gdzie najczęściej występują? Dlaczego pojawiają się na skórze naszego dziecka? Jak zapobiegać potówkom, a jeżeli już się pojawią, to jak złagodzić objawy? Swoimi radami w Dzień Dobry TVN podzieliła się położna Karolina Ebebenge. Zobaczcie kolejny odcinek cyklu "Instrukcja obsługi malucha"!